



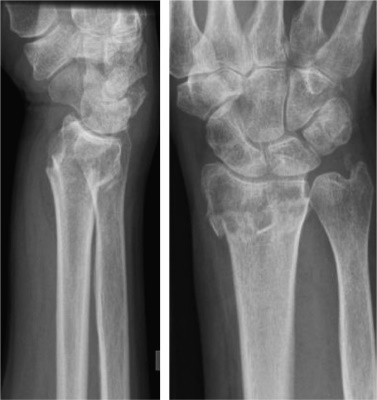
Fracturas del radio distal en la población anciana
No encontramos evidencia clara de la superioridad clínica de la cirugía de fractura de radio distal entre los adultos mayores al año; sin embargo, el tratamiento quirúrgico puede producir una recuperación más rápida al nivel previo de actividad en los pacientes ancianos.
Operaciones secundarias y extracción de implantes, mientras que en el tratamiento no quirúrgico puede producirse una pérdida de alineación sintomática y una unión defectuosa. En pacientes de edad avanzada, el tratamiento no quirúrgico puede considerarse el estándar de oro.
https://pubmed.ncbi.nlm.nih.gov/32655892/
https://www.ncbi.nlm.nih.gov/pmc/articles/PMC7336190/
https://online.boneandjoint.org.uk/doi/full/10.1302/2058-5241.5.190060
Luokkala T, Laitinen MK, Hevonkorpi TP, Raittio L, Mattila VM, Launonen AP. Distal radius fractures in the elderly population. EFORT Open Rev. 2020;5(6):361-370. Published 2020 Jun 17. doi:10.1302/2058-5241.5.190060

Experto en Cirugía de Mano y Microcirugía