Bloqueo de extensión de alambre de kirschner dorsal específico para fragmentos de clavos en fracturas de martillo: un estudio retrospectivo de 20 casos
Lista destacada
- La fijación específica de un fragmento es un método racional para las fracturas de martillo desplazadas.
- La técnica es simple, confiable y sencilla.
- Esta modalidad de tratamiento produce una buena unión radiológica y resultado funcional.
- Sugerimos la primera aguja de Kirschner como paso clave para la reducción de fragmentos de fracturas.
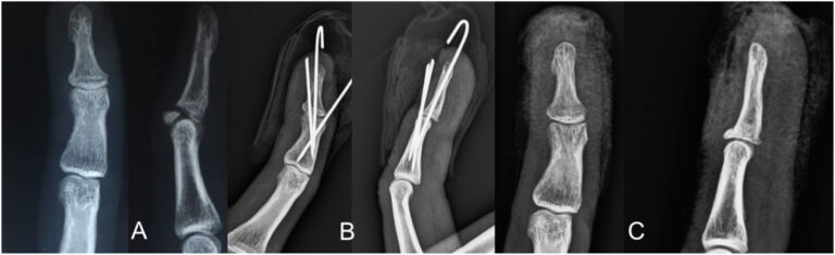
- Aguja de Kirschner de lados radiales para desplazamiento dorso-radial.
- Un lado cubital para el desplazamiento dorso-cubital.
- Dos agujas de Kirschner dorsales paralelas para el fragmento central.
La colocación de clavos en bloque de extensión percutánea es una de las modalidades de tratamiento para las lesiones óseas desplazadas en martillo. Se han descrito varias modificaciones técnicas con una o más agujas de Kirschner. El propósito de este estudio es analizar los resultados de la fijación con alambre de Kirschner dorsal específico de un fragmento para las fracturas en martillo.
La fijación específica de un fragmento con una o dos agujas de Kirschner es un método racional para las fracturas en martillo desplazadas. La técnica es simple y confiable. Esta modalidad de tratamiento consigue una buena unión radiológica y un resultado funcional.
https://www.sciencedirect.com/science/article/pii/S2666769X2100004X#fig3
Orthoplastic Surgery
Fragment specific dorsal kirschner wire extension block pinning in mallet fractures-a retrospective study of 20 cases
J. Terrence JoseJeromeaVijay A.Malshikareb
https://doi.org/10.1016/j.orthop.2021.02.001
Under a Creative Commons license
open access
© 2021 Published by Elsevier Ltd on behalf of IJS Publishing Group Limited.
Fractura en martillo, Kirschner, Fijación, Aguja de Kirschner, Fragmento específico, fracturas en martillo desplazadas, fragmentos de clavos, alambre de kirschner dorsal específico, Bloqueo de extensión,
Tratamiento de la enfermedad de Dupuytren grave en dos pasos: Distracción progresiva con fijador externo y fasciotomía percutánea con aguja
J Hand Surg Am- ASSH@JHandSurgUn abordaje mínimamente invasivo en dos pasos (distracción progresiva con fijador externo seguida de fasciotomía con aguja) logró una corrección duradera y una mejora funcional significativa en la enfermedad de Dupuytren grave.#CirugíaDeMano #Dupuytren #SHA HandSurgery Treatment of Severe Dupuytren Disease in Two Steps: Progressive Distraction With External Fixator and Percutaneous Needle … Leer más
Técnica de tenodesis dinámica para la deriva cubital con subluxación del tendón extensor debido a artritis reumatoide
JHS GO@JHSGlobalOnlineTécnica de tenodesis dinámica para la deriva cubital con subluxación del tendón extensor debido a artritis reumatoideUniversidad de Medicina de la Prefectura de Kioto, Kioto, Japón#Centralización #ArtritisReumatoide #DerivaCubital #JHSGO #CirugíaDeMano #AccesoAbierto #Centralization #RheumatoidArthritis #UlnarDrift #HandSurgery #OpenAccess Dynamic Tenodesis Technique for Ulnar Drift With Extensor Tendon Subluxation due to Rheumatoid Arthritis – Journal of Hand … Leer más
El tratamiento quirúrgico de las fracturas desplazadas del radio distal se asocia con una mejor función, pero no en adultos mayores.Revisión sistemática y metaanálisis de ensayos controlados aleatorizados.
Bone & Joint Open@BoneJointOpen¿El artículo más descargado de la edición de octubre de #BJO?Esta revisión sistemática y metaanálisis tuvo como objetivo comparar los resultados informados por los pacientes del tratamiento quirúrgico y no quirúrgico en adultos con fractura del radio distal.#Fractura #Muñeca #Fracture #Wrist Operative management of displaced fractures of the distal radius is associated … Leer más






Experto en Cirugía de Mano y Microcirugía