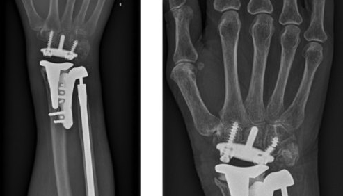
- Un muñón cubital distal inestable después de la resección de Darrach, junto con la patología de la articulación radiocarpiana, es difícil de manejar sin la fusión de al menos una articulación.
- Actualmente, no se dispone de una artroplastia estándar 2 en 1. Presentamos el caso de una mujer de 72 años con aflojamiento del vástago radial de una prótesis total de muñeca Universal 2 combinada con pinzamiento radioulnar después de un procedimiento de Darrach.
- Debido al escaso stock de hueso radial, la técnica de fijación estándar de una prótesis de articulación radiocubital distal semi-restringida (Aptis) no fue posible.
- Presentamos una técnica para fijar la prótesis de la articulación del radiocubital distal semi-restringida, así como una prótesis total de muñeca mediante una prótesis de brida impresa tridimensional personalizada en el borde cubital del radio.
- Tres años después de la cirugía, el paciente permaneció sin dolor, con flexión de 60 °, extensión de 75 °, pronación de 80 ° y supinación de 80 °.
Salvage Operation for a Failed Total Wrist Prosthesis and Darrach Procedure by Total Wrist Revision and Distal Radioulnar Joint Arthroplasty
Vandevivere, Hanne et al.
Journal of Hand Surgery Global Online, Volume 2, Issue 1, 61 – 65
© 2019 THE AUTHORS. Published by Elsevier Inc. on behalf of The American Society for Surgery of the Hand.
