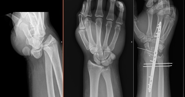
Las luxaciones radiocarpianas son lesiones raras que resultan de fuerzas de alta energía a través de la muñeca con el hallazgo distintivo de la ruptura del ligamento radiocarpiano. Los métodos de tratamiento publicados son completos con resultados de moderados a buenos. El propósito de este estudio fue revisar el tratamiento de las luxaciones radiocarpianas con una placa dorsal para la muñeca.
El tratamiento agudo con una placa de extensión dorsal de la muñeca en esta serie dio como resultado resultados comparables a lo que se informó anteriormente en la literatura. La placa de expansión dorsal de la muñeca ofrece al cirujano un método confiable de estabilización, con un mínimo de trauma quirúrgico adicional en la muñeca, al tiempo que evita la posibilidad de infecciones que se desarrollan con otros métodos de tratamiento.
https://pubmed.ncbi.nlm.nih.gov/31847582/
https://journals.sagepub.com/doi/10.1177/1558944719893068
Wahl EP, Lauder AS, Pidgeon TS, Guerrero EM, Ruch DS, Richard MJ. Dorsal Wrist Spanning Plate Fixation for Treatment of Radiocarpal Fracture-Dislocations [published online ahead of print, 2019 Dec 17]. Hand (N Y). 2019;1558944719893068. doi:10.1177/1558944719893068
Copyright © 2019, © SAGE Publications

Experto en Cirugía de Mano y Microcirugía